| TOP > オールセラミック |

|
オールセラミック(ジルコニア)クラウン
ジルコニアは審美的な白色を有しているだけでなく、生体親和性においても優れ、医科分野で人口股関節の球状骨頭部などに既に20年近く用いられています。
またスペースシャトルの断熱保護剤やF1のブレーキディスクなどにも使用され、過酷な状況下での耐久性も証明されています。このジルコニアが今、歯科業界で新たな材料として注目されており、海外では白いメタルと評されています。 |
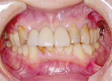
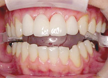
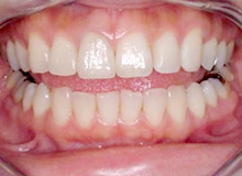
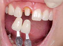
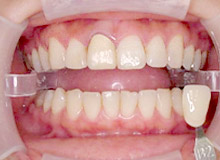
金属の詰め物をオールセラミックにした場合
|
オールセラミック治療の特徴
 |
 |
 |
| ・ |
天然歯に近い、ナチュラルカラーです。 |
| |
セラミックの最大の特長は、他の素材に比べて天然の歯に最も近い色調と透過性を再現できることです。今までは、目に見える部分だけをセラミックで白くして見た目を良くしていました。オールセラミック治療の場合、裏側まで全てセラミックを用いるため、驚くほど自然な感じに仕上がります。 |
| |
 |
| ・ |
からだに優しい素材です。 |
| |
セラミックは生体親和性が高いためからだにやさしく、金属アレルギーの心配もありません。 |
| |
 |
| ・ |
耐久性に優れ、長持ちします。 |
| |
セラミックは非常に高い強度をもつため、欠けたり、すり減ることがほとんどありません。また、歯とほぼ同じ硬さなので、咬み心地も優しく安心です。 |
| |
 |
| ・ |
歯ぐきの黒変や、金属の露出もありません。 |
| |
変色しにくいこともセラミックの特長です。治療後の変色がほとんどなく、金属の透過による歯ぐきの黒変や金属自体の露出もありません。 |
 |
|
|
|
エンプレス
ヨーロッパで開発された「IPSエンプレスシステム」は、高品質のセラミック材でできています。「IPSエンプレスオールセラミック材」は、審美性、機能性、耐久性などの要求を全て満たしています。 |
|
|
エンプレスの特長
 |
 |
 |
| ・ |
「IPSエンプレスオールセラミックス」のもつ天然歯に近い素材は、抜群の審美的効果を発揮します。 |
 |
| ・ |
「IPSエンプレスオールセラミックス」の修復物は、全く金属を使用していません。(金属アレルギーの方にも安心してご利用いただけます) |
 |
| ・ |
「IPSエンプレスオールセラミックス」は世界中の様々な大学で使用されています。 |
 |
|
|
 |
|オールセラミック|メタルセラミック|ハイブリットセラミック|ファイバーコア|
|歯のホワイトニング|歯肉のホワイトニング|審美歯科に関するQ&A|患者様の声| |