| |
 |
福生市 福生駅前 一般歯科 予防歯科 インプラント 審美歯科 矯正歯科 ホワイトニング バーデン歯科クリニック
|
|
|
|
|
 |
| TOP > ハイブリットセラミック |

|
ハイブリットセラミック
ハイブリッドセラミッククラウンとは、セラミック(陶器)とレジン(プラスチック)を混ぜた材料で作られたクラウン(差し歯)です。
オールセラミックジャケット冠よりも割れにくいのですが、色調は多少劣ります。 |
|
|
|
|
|
|
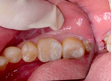
ハイブリットの特長
 |
 |
 |
| ・ |
色が歯に似ているので見た目が良い。 |
 |
| ・ |
硬すぎないので、周囲の歯や噛み合う歯を痛めることがない。 |
 |
| ・ |
金属を使用しないので、金属の溶け出しによる歯や歯ぐきの変色、金属アレルギーなどが起こる可能性がない。 |
 |
| ・ |
セラミックよりも割れにくいので、オールセラミックジャケット冠が使用できない部位にでも使用できることがある。 |
 |
|
|
 |
|オールセラミック|メタルセラミック|ハイブリットセラミック|ファイバーコア|
|歯のホワイトニング|歯肉のホワイトニング|審美歯科に関するQ&A|患者様の声| |
|
 |
 |
|
Copyright,Barden Dental Office.All rights reserved.
|
|