| |
 |
福生市 福生駅前 一般歯科 予防歯科 インプラント 審美歯科 矯正歯科 ホワイトニング バーデン歯科クリニック
|
|
|
|
|
 |
| TOP > メタルセラミック |

|
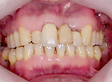
メタルセラミック(メタルボンド)
メタルボンド冠とは中身は金属で、外から見える部分にのみセラミック(陶器)を貼り付けたクラウン(被せ物、差し歯)です。(陶材焼付鋳造冠とも呼ばれます)
見た目が良く変色せず、強度も強いので非常によく使用されます。
さらに、中の金属に貴金属を使用すれば、金属が溶け出すことによる歯ぐきの変色、金属アレルギーなどが起こる可能性を低くすることも出来ます。 |
|
|
|
|
|
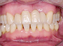
メタルセラミックの特長
 |
 |
 |
| ・ |
色が歯に似ているので見た目が良い。 |
 |
| ・ |
中身が金属なので割れにくく、ほとんどの部位に使用できる。 |
 |
| ・ |
中身の金属に貴金属を使用すれば、金属が溶け出すことによる歯ぐきの変色、金属アレルギーなどが起こる可能性が低くなる。 |
 |
|
|
 |
|オールセラミック|メタルセラミック|ハイブリットセラミック|ファイバーコア|
|歯のホワイトニング|歯肉のホワイトニング|審美歯科に関するQ&A|患者様の声| |
|
 |
 |
|
Copyright,Barden Dental Office.All rights reserved.
|
|