福生市 福生駅前 一般歯科 予防歯科 インプラント 審美歯科 矯正歯科 ホワイトニング バーデン歯科クリニック
インプラントって何?
当院のインプラント治療について
インプラントの治療の流れ
インプラントに関するQ&A
患者様の声
オールセラミック
メタルセラミック
ハイブリットセラミック
ファイバーコア
歯のホワイトニング
歯肉ホワイトニング
審美歯科に関するQ&A
患者様の声
歯並びでお悩みの方へ
当院の矯正歯科治療に対する姿勢
矯正治療の流れ・費用について
矯正歯科に関わるQ&A
症例フォト
患者様の声
当院の予防に対する考え方
効果的な歯のメンテナンス法
歯の予防に関するQ&A
TOP
>
症例フォト
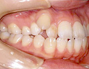
矯正治療前
矯正治療後(完成型)
|
歯並びでお悩みの方へ
|
当院の矯正歯科治療に対する姿勢
|
矯正治療の流れ・費用について
|
|
矯正歯科に関わるQ&A
|
症例フォト
|
患者様の声
|
このページのトップへ
|
TOP
|
当院について・アクセスマップ
|
ドクターからの一言
|
スタッフ募集
|
リンク
|
インプラント-歯を失くされた方へ−
|
審美歯科−歯を白くしたい方へ−
|
|
予防治療−当院の予防徹底ケア−
|
矯正−歯並びが気になる方へ−
|
その他お困りの方へ
|
サイトマップ
|
セキュリティーポリシー
|
Copyright,Barden Dental Office.All rights reserved.